From First Teeth to Forever Smiles – Dental Care for All Ages!
First Smile Peadiatric & Multispeciality Dental Clinic in Hebbal, offers comprehensive dental care for all ages with a special focus on kids. We ensure gentle, expert care for healthy, beautiful smiles.
Call Us For Enquiries Or Appointments.


About First Smile Mysuru Dental Clinic
Founded seven years ago, First Smile Mysuru Dental Clinic has become a trusted name in Hebbal, Mysore. Led by Dr. Shubha and Dr. Charan, we are passionate about providing comprehensive dental care with a focus on pediatric dentistry. Our clinic combines advanced technology with a friendly, child-centered approach, ensuring every patient feels at ease.
Treatments Offered

Preventive Dental Care
Protect your family’s smiles with regular check-ups, cleanings, and fluoride treatments designed to prevent dental issues before they start.

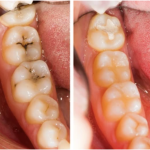
Dental Decay Treatment
Say goodbye to cavities with our gentle and effective decay treatments, including fillings and sealants for long-lasting oral health

Cosmetic Dentistry
Enhance your smile’s natural beauty with personalized solutions like teeth whitening, veneers, and contouring.

Myofunctional Therapy & Orthodontics
Achieve a straighter, healthier smile with braces or clear aligners tailored to your unique dental needs.

Root Canal Therapy & Crowns
Restore your tooth health with painless root canal therapy, saving teeth from deep decay or infection.

Maxillofacial Surgery & Dental Implants
Restore function and aesthetics with our advanced surgical expertise:

Root Canal Therapy & Crowns
Restore your tooth health with painless root canal therapy, saving teeth from deep decay or infection.

Maxillofacial Surgery & Implants
Advanced surgical procedures to correct facial structures, replace missing teeth, and restore function and aesthetics.

Treatment Under Conscious Sedation
A relaxed, anxiety-free dental experience using mild sedation while keeping the patient awake and responsive.

Treatment Under General Anesthesia
Comprehensive dental care performed while the patient is completely unconscious, ensuring a painless procedure.

Preventive Dental Care
Protect your family’s smiles with regular check-ups, cleanings & fluoride treatments designed to prevent dental issues.

Dental Decay Treatment
Say goodbye to cavities with our effective decay treatments, including fillings & sealants for long-lasting oral health

Dental Esthetics & Cosmetic Dentistry
Enhance your smile’s natural beauty with personalized solutions like teeth whitening, veneers, and contouring.

Myofunctional Therapy & Orthodontics
Achieve a straighter, smile with braces or clear aligners tailored to your unique dental needs.
Testimonials
Dr.Shubha is very friendly and she made the kid comfortable before doing any procedure, she is very professional and gave good advise to take care of kids teeth. We would recommend her for child dental issues
Amrutha Hoysal
Priya H C